Technology
Share your love

Harrow completes acquisiton of Melt Pharmaceuticals | Ophthalmology Times
(Image Credit: AdobeStock/Parradee) Harrow has completed the acquisition of Melt Pharmaceuticals, which includes product candidates MELT-210, MELT-300, and MELT-400 based on the Zydis ODT (oral dissolving tablet) drug delivery platform. Melt will now be fully integrated into Harrow’s operations to…

Trifocal IOL for Presbyopia Correction
Presbyopia continues to be one of the most significant visual limitations following cataract surgery, even with the use of advanced monofocal or extended-depth intraocular lenses (IOLs). Despite technological progress, achieving consistent vision across near, intermediate and far distance foci remains…

Enova Advanced EDoF IOL with Light Tailoring Tech
The Enova Advanced® Extended Depth of Focus (EDoF) IOL, developed by VSY Biotechnology GmbH, represents a significant evolution in intraocular lens technology. Built on advanced optical innovation and material science, this lens is designed to offer natural vision, seamless focus, and…

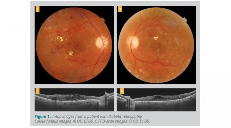
AAO 2025: The value of RGB imaging in OCT | Ophthalmology Times
SriniVas R. Sadda, MD, FARVO, a professor of ophthalmology at UCLA and the Doheny Eye Institute, discussed advancements in ophthalmological imaging technology, specifically focusing on the Silverstone platform with RGB imaging capabilities. The key innovation of this platform is the…

AAO 2025: Innovations in surgical visualization and imaging | Ophthalmology Times
Katherine Talcott, MD, a retina specialist at the Cleveland Clinic’s Cole Eye Institute, explores the evolving landscape of retinal surgery, focusing on emerging imaging technologies. She begins by distinguishing 2 main categories of technological advancements: intraoperative optical coherence tomography (OCT)…

Sight Sciences reports new data supporting long-term efficacy of OMNI Surgical System | Ophthalmology Times
(Image Credit: AdobeStock/andranik123) Sight Sciences has released results from 3 published manuscripts analyzing prospective study data and retrospective registry data that the company claims “further demonstrate the value of an interventional mindset in treating glaucoma.” One of the studies was…

Q&A: James Chelnis discusses AAO 2025 presentation on aesthetic facial surgery | Ophthalmology Times
Image credit: AdobeStock/Viacheslav Yakobchuk James Chelnis, MD, FACS, is an ophthalmic plastic and reconstructive surgeon at Manhattan Face & Eye. At the 2025 American Academy of Ophthalmology meeting held in Orlando, Florida, he gave a presentation titled, “Introduction to Aesthetic…

LASIK and beyond: Navigating the changing landscape of refractive surgery | Ophthalmology Times
Ophthalmologists share how emerging LASIK techniques and technologies are improving outcomes and shaping the future of refractive surgery. (Image credit: AdobeStock/rohane) Refractive surgery continues to transform, with innovations in LASIK and other vision-correction procedures improving precision and patient outcomes. The…

Pediatric and strabismus care: Evolving tools, emerging therapies | Ophthalmology Times
Advances in imaging, diagnostics, and surgical techniques are transforming the detection and treatment of pediatric and strabismus disorders. (Image credit: AdobeStock/FOTO_STOCKER) Pediatric ophthalmology continues to evolve, with advances in diagnostic imaging, surgical techniques, and emerging therapies reshaping the management of…

Transformative advances in vision research: It’s the science | Ophthalmology Times
(Image Credit: AdobeStock/kkolosov) As part of Ophthalmology Times’ 50th anniversary celebration, leaders in the field are reflecting on the transformative role of science and research in advancing eye care. Deborah A. Ferrington, PhD—chief scientific officer and the Stephen J. Ryan–Arnold…



